Mi Vida – ein Kämpfer auf vier Hufen

Auf dem idyllisch gelegenen Burgstallhof vom Verein «Zweites Leben für Sportpferde» verbringen ehemalige Sportpferde ihren wohlverdienten Lebensabend – fernab von Wettkämpfen, Leistungsdruck und Stress. Eines dieser Pferde ist Mi Vida, ein stolzer und sanfter Wallach. Und genau um seine Namensbedeutung «Mein Leben» geht es: um sein Leben – und um die Chance, es trotz Krankheit weiter in Würde zu leben.
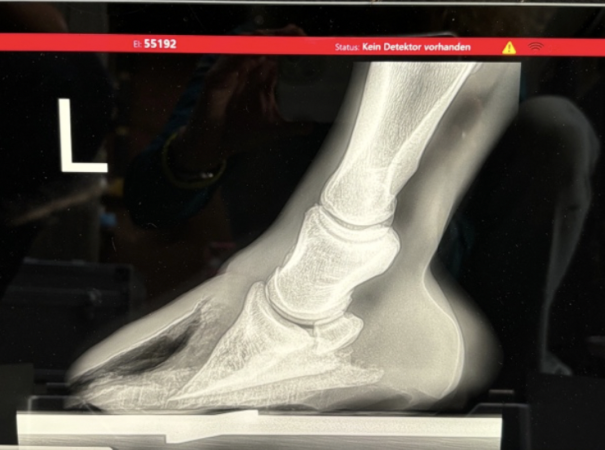
Vor über einem Jahr begann Mi Vidas Leidensgeschichte. Die Diagnose: White Line Disease, eine Hufkrankheit, die das Horn von innen zersetzt und äusserst langwierig zu behandeln ist. Für Mi Vida bedeutete das zahlreiche Tierarztbesuche, regelmässige Behandlungen und Spezialbeschläge alle vier bis sechs Wochen. In der Anfangszeit musste sein Huf sogar gegipst werden – heute gelingt es dank viel Geduld, Fachwissen und Kunsthorn, den Huf Stück für Stück wieder aufzubauen.




Doch solche Behandlungen sind kostspielig und bringen die Lebens- und Gnadenhöfe immer wieder an ihre finanziellen Grenzen. Genau hier greift der Lebenshoffonds von ProTier ein. Durch diesen Fonds können Lebens- und Gnadenhöfe aus unserem Netzwerk gezielt unterstützt werden – insbesondere dann, wenn unvorhergesehene Tierarztkosten anfallen oder Spezialversorgungen nötig sind.
Dank dieser Mitunterstützung konnte Mi Vida weiterhin die Behandlung erhalten, die er dringend braucht. Heute geht es ihm deutlich besser – auch wenn der Weg zur vollständigen Genesung noch nicht abgeschlossen ist. Seine Geschichte zeigt was möglich ist, wenn Menschen gemeinsam Verantwortung übernehmen: für jene Tiere, die auf uns angewiesen sind.
Mit Ihrer Unterstützung helfen Sie mit, dass Tiere wie Mi Vida auf Lebens- und Gnadenhöfen weiterhin die Pflege und Zuwendung erhalten, die sie verdienen.
